MedicalTechs.org
Score:
0/0
Section 10
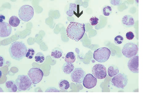
Photomicrographs and Color Plate Examination
Plate 48 is from a Wright’s-stained peripheral blood film, 1,000×. The WBC shown in the center of the field (see arrow) is classified as a:
Blast
Promyelocyte
Myelocyte
Prolymphocyte
Next